Χρωμοσώματα

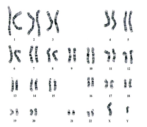
Η μελέτη των χρωμοσωμάτων (chromosomes) επιτυγχάνεται με καλλιέργεια κυττάρων, όπως είναι τα κύτταρα του μυελού των οστών και τα λεμφοκύτταρα του περιφερικού αίματος. Τα κύτταρα διεγείρονται σε πολλαπλασιασμό (μίτωση) με διάφορες ουσίες για ορισμένες ημέρες και στη συνέχεια διακόπτεται ο πολλαπλασιασμός τους με κάποιο δηλητήριο της μίτωσης, συνήθως την κολχικίνη. Η κολχικίνη έχει την ιδιότητα να σταματά τη μιτωτική διαίρεση των κυττάρων στη φάση της μετάφασης, κατά την οποία τα χρωμοσώματα είναι ορατά με τη γνωστή τους μορφή. Τελικά, με κατάλληλες εργαστηριακές τεχνικές τα χρωμοσώματα μονιμοποιούνται πάνω στην επιφάνεια μίας αντικειμενοφόρου πλάκας και βάφονται με διάφορες τεχνικές, όπως είναι η τεχνική G-banding (Giemsa και θρυψίνη) και Q-banding (φθορισμός με κινακρίνη). Με τις τεχνικές αυτές σχηματίζονται κατά μήκος των χρωμοσωμάτων χαρακτηριστικές εγκάρσιες ταινίες που διευκολύνουν μορφολογικά στην ταξινόμηση και μελέτη τους. Ανάλογα με το μέγεθος, το σχήμα και τη μορφολογία του κάθε χρωμοσώματος, αλλά και τη θέση του κεντρομεριδίου, τα χρωμοσώματα κατατάσσονται σε ομάδες και ζεύγη, σχηματίζοντας έτσι τον καρυότυπο (karyotype).
Gallery (Κάντε κλίκ για μεγέθυνση)
καρυότυπος

Θρόμβωση ­­­­­­­­­­και Αιμορραγία στη Μαιευτική και Γυναικολογία
 
 

 
Θρομβοφιλία / Δρ Ιωάννης Επ. Γεωργούλης / θρομβοφιλία και κύηση © 2011 | Powered by VS PANEL v.7.5.5
Made in Vertigo Studios