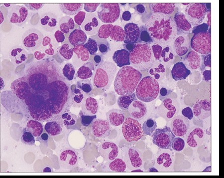
Κύτταρα μυελού των οστών
Η μορφολογική μελέτη και αναγνώριση των κυττάρων του μυελού των οστών (bone marrow cells) αποτελεί έργο άκρως υπεύθυνο, συχνά κοπιώδες και οπωσδήποτε χρονοβόρο, και γι΄αυτό θεωρείται από πολλούς ως η λυδία λίθος στη διάγνωση του αιματολογικού, κυρίως, νοσήματος. Προϋποθέτει άρτια θεωρητική κατάρτιση...
Περισσότερα »

DNA μικροσυστοιχία
Η DNA μικροσυστοιχία (DNA microarray analysis), γνωστή και ως gene chip ή genome chip ή gene array είναι μία συλλογή από μικροσκοπικά ολοκληρωμένα κυκλώματα (microchips) που συνήθως αντιπροσωπεύουν απλά γονίδια, τοποθετημένα εν σειρά και συνδεδεμένα με σταθερούς δεσμούς επάνω σε μία συμπαγ...
Περισσότερα »

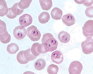
Ελονοσία
Η ελονοσία (malaria) είναι λοιμώδες νόσημα που οφείλεται σε παράσιτα του γένους Plasmodium, τα οποία ενδημούν σε τροπικές ή υποτροπικές χώρες και μεταδίδονται από το θηλυκό κουνούπι το ανωφελές. Η ελονοσία που προκαλείται από το Plasmodium falciparum είναι η πιο επικίνδυνη από τα νοσήματα αυτά ...
Περισσότερα »

Αιμοσφαιρίνη Lepore
Η αιμοσφαιρίνη Lepore (haemoglobin Lepore) είναι μία υβριδική αιμοσφαιρίνη που οφείλεται στη σύντηξη μέρους του γονιδίου της δ αλυσίδας με μέρος του γονιδίου της β αλυσίδας. Το αποτέλεσμα είναι η δημιουργία ενός δβ υβριδικού γονιδίου (και καθόλου φυσιολογικών δ ή β γονιδίων) το οποίο κωδικοποιεί την...
Περισσότερα »

Προεμφυτευτική γενετική διάγνωση
Η προεμφυτευτική γενετική διάγνωση (preimplantation genetic diagnosis-PGD) αποτελεί μία μέθοδο προγενετικής διάγνωσης που αποσκοπεί στη διάγνωση συνήθως μονογονιδιακών νοσημάτων ή μορφολογικών χρωμοσωματικών ανωμαλιών, πριν την εμφύτευση του γονιμοποιημένου ωαρίου. Με τον τρόπο αυτό μπορεί να αποφευ...
Περισσότερα »

Εξετάσεις θρομβοφιλίας.
Η θρομβοφιλία είναι μία παθολογική κατάσταση που οφείλεται σε διαφορετικά αίτια. Επομένως, δεν υπάρχει μία και μοναδική εργαστηριακή εξέταση που θα μπορούσε να την αποκαλύψει. Τα τελευταία χρόνια υπάρχει η τάση αναγραφής ορισμένων εξετάσεων μοριακής βιολογίας, οι οποίες όχι μόνο δεν ενοχοπ...
Περισσότερα »

Πρώτη   <<    1 2 3     >>   Τελευταία

Θρόμβωση ­­­­­­­­­­και Αιμορραγία στη Μαιευτική και Γυναικολογία
 
 

 
Θρομβοφιλία / Δρ Ιωάννης Επ. Γεωργούλης / θρομβοφιλία και κύηση © 2011 | Powered by VS PANEL v.7.5.5
Made in Vertigo Studios