Σχηματισμός rouleaux
Παρατηρείται σχηματισμός rouleaux. Τα rouleuax (εν. rouleau) αποτελούν φαινόμενο in vivo και εμφανίζονται στο περιφερικό αίμα ως ομάδες τεσσάρων ή περισσότερων ερυθροκυττάρων με τη μορφή στήλης νομισμάτων. Ο σχηματισμός τους οφείλεται στην επικάλυψη των ερυθροκυττάρων από ανοσοσφαιρίνες ή ινωδογόνο,...
Περισσότερα »

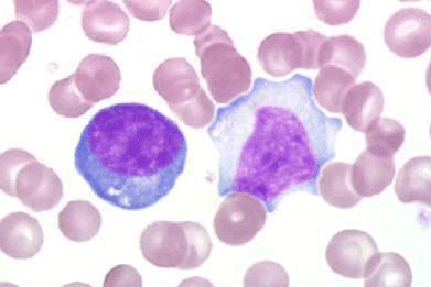
Διεγερμένα λεμφοκύτταρα
Παρατηρούνται δύο διεγερμένα λεμφοκύτταρα (reactive lymphocytes), από τα οποία πλέον χαρακτηριστικό είναι το λεμφοκύτταρο με το ανώμαλο περίγραμμα. Τα κλασικά διεγερμένα λεμφοκύτταρα είναι μεσαίου ή μεγάλου μεγέθους κύτταρα, συνήθως με ανώμαλο περίγραμμα. Ο πυρήνας είναι νεφροειδής, λοβωτός, στ...
Περισσότερα »

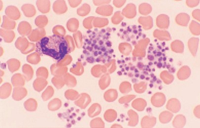
Συσσωρεύσεις αιμοπεταλίων
Παρατηρούνται μεγάλες συσσωρεύσεις αιμοπεταλίων. Οι συσσωρεύσεις αυτές δημιουργούνται in vitro, δηλαδή στο εργαστήριο, με αποτέλεσμα ο αιματολογικός αναλυτής να τις προσμετρά συνήθως σαν λευκοκύτταρα. Το φαινόμενο αυτό οδηγεί σε φαινομενική ελάττωση του αριθμού των αιμοπεταλίων, δηλαδή σε ψευδο...
Περισσότερα »

Τριχοειδικό αίμα
Όταν επιβάλλεται αιμοληψία από τριχοειδκό αίμα (capillary blood sampling), η καταλληλότερη περιοχή για τα βρέφη είναι το οπίσθιο και έξω τμήμα του πέλματος και για τους ενήλικες η παλαμιαία επιφάνεια των άκρων δακτύλων, συνήθως τρίτος ή τέταρτος δάκτυλος, 3-5 χιλ. από το κοίλο των νυχιών. Στα βρέφη ...
Περισσότερα »

Μικροσκόπιο
Η μικροσκόπηση ευρέος πεδίου (brightfield light microscopy), δηλαδή το κοινό μικροσκόπιο, αποτελεί την πιο συχνά χρησιμοποιούμενη μέθοδο μικροσκόπησης στο Εργαστήριο. Δίνει τη δυνατότητα παρατήρησης πέντε φορές μικρότερων αντικειμένων απ΄ό,τι το μικρότερο ορατό σωματίδιο.
Η μικροσκόπηση με φθορι...
Περισσότερα »

Χρωμοσώματα
Η μελέτη των χρωμοσωμάτων (chromosomes) επιτυγχάνεται με καλλιέργεια κυττάρων, όπως είναι τα κύτταρα του μυελού των οστών και τα λεμφοκύτταρα του περιφερικού αίματος. Τα κύτταρα διεγείρονται σε πολλαπλασιασμό (μίτωση) με διάφορες ουσίες για ορισμένες ημέρες και στη συνέχεια διακόπτεται ο πολλαπλασια...
Περισσότερα »

Πρώτη   <<   1 2 3     >>   Τελευταία

Θρόμβωση ­­­­­­­­­­και Αιμορραγία στη Μαιευτική και Γυναικολογία
 
 

 
Θρομβοφιλία / Δρ Ιωάννης Επ. Γεωργούλης / θρομβοφιλία και κύηση © 2011 | Powered by VS PANEL v.7.5.5
Made in Vertigo Studios